
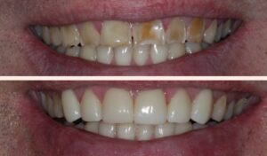
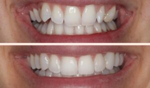
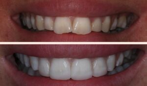
A beautiful smile can change your life, boosting your confidence and enhancing your overall appearance. At Nuvo Dental Plymouth, we’re proud to host Smile Makeover Open Days throughout the year—unique events designed to help you explore life-changing cosmetic dentistry treatments. From Invisalign to composite bonding and teeth whitening, our tailored treatment plans ensure every patient achieves their dream smile.
If you’re ready to discover how we can transform your smile, keep reading to learn more about what makes these open days so special.
A smile makeover is a personalised treatment plan that combines several cosmetic dentistry procedures to improve the appearance of your teeth and gums. At Nuvo Dental, we specialise in delivering life-changing results through a combination of:
Each treatment complements the others, creating a complete transformation that enhances both the function and aesthetics of your smile. Many of our patients choose to undergo these treatments over the course of a year, leading to a truly life-changing result.
At Nuvo Dental Plymouth, your smile is in the hands of highly skilled cosmetic dentists who are passionate about delivering exceptional results. Meet the team:
With years of experience in advanced cosmetic and implant dentistry, Dr. Suresh is a leading expert in smile makeovers. For more information on his work and personal profile, visit his dedicated website.
Dr. Florin specialises in creating natural, harmonious smiles through treatments like Invisalign and composite bonding.

Known for his meticulous attention to detail Dr Sanjay is continuously helping patients achieve their dream smiles through advanced cosmetic techniques.

Dedicated to enhancing smiles with a patient-centred approach, Dr Saf loves tailoring each treatment to individual needs.

Our cosmetic dental team has a proven track record of delivering stunning results. During our Smile Makeover Open Days, you’ll have the opportunity to meet with these experts and discuss your smile goals.
Here’s what makes our Smile Makeover Open Days truly unique:
Free Consultations: Sit down with our friendly dental team to discuss your concerns and goals.
3D Smile Simulations: Using advanced technology, we’ll show you how your smile could look after treatment. This preview helps you make informed decisions about your care.
Tailored Advice: Our experts will guide you through personalised treatment plans, from straightening to reshaping and whitening your teeth.
Exclusive Discounts: Attendees can take advantage of significant savings on treatments when booked during the event.
Spaces fill up quickly, so we encourage you to book early to secure your spot! Feel free to Direct Message us through our Instagram or contact us on our Facebook Page where our Treatment Coordinator can assist you further!
Planning your smile transformation has never been easier. At Nuvo Dental, our dedicated Treatment Coordinator, Louise, offers FREE online consultations to answer all your questions and provide expert advice from the comfort of your own home.
Here’s how Louise will help you:
At Nuvo Dental Plymouth, we’re committed to creating stunning smiles and delivering exceptional patient care. Here’s why patients choose us:
Couldn’t be more happy with my new teeth! After decades of searching for someone to do what I wanted to, I finally found Dr Bains…
READ MOREI’ve always felt comfortable at this dentist, even though I’m not a massive fan of dentists. They always consider how your feeling, while they’re doing…
READ MOREI am a nervous patient and they made me feel very comfortable and Mo explained everything he was going to do. I felt no pain…
READ MOREDr chad is a lovely guy. He puts you at ease from the start. One of the best dentist i have had. Would recommend him…
READ MOREVery good service with Chad and Laura. Friendly helpful advice and answered my questions. Superb service. Many thanks.
READ MOREVery professional and explained everything , made you feel at ease, lovely kind caring man would recommend, thank you very much.
READ MOREExcellent service and treatment dealing with my tooth abscess. Dr Chad gave me comprehensive advice and rang me on the telephone to discuss all options.…
READ MOREBest dentist in last 10 years! Dr Mariola, very friendly, very professional, made me feel very at ease, very patient and finally able to smile…
READ MOREI just want to express my gratitude to the staff of Nuevo Surgery for the excellent service I had on Thursday 11/ Fri 12 Feb.…
READ MOREMade me feel very at ease, very patient and finally able to smile now! The most gentle dentist I have ever seen! Thank you!
READ MOREI can highly recommend Dr Chad, he has done a fantastic job. I can now smile with confidence! Thank you so much.
READ MOREI was recommended this dental clinic (in particular, Dr Mariola) by my friend, as I am a very nervous patient. The receptionists are friendly. Dr…
READ MOREExcellent and very caring team. The treatment I received was brilliant.
READ MOREI was really pleased with the recent work I had done with dentist Scott Smith. Scott was very kind and caring as well as efficient…
READ MOREHave not received such outstanding care from a dentist before. Dr Raj was so thorough, and caring throughout the whole experience whilst receiving treatment for…
READ MORE