Always a pleasurable experience. Plenty of explanation on what the dentist is doing and why. My mouth feels great and if I have a sudden problem I am given an appointment very quickly.Great team.
Amazing dentist!! Simply cannot thank them enough! I have always been terrified of the dentist since I was small after having a butcher for a dentist! But all the dentist I have seen there have been amazing, the support staff too are simply incredible.
I was referred to Nuvo for stabilisation procedure after having removal of teeth due to dental abscess.The reception at Nuvo was far above and beyond what I was expecting from the moment I entered the premises.The staff were superb and the dentist so caring…I relaxed within moments of sitting in the chair. I now have a totally new outlook on modern dentistry. I still have a couple of appointments to finish my treatment and I am quite looking forward to it. I will have probably gone twin round the world with their great tv program of places of interest around the world ( better than a fish tank any day)
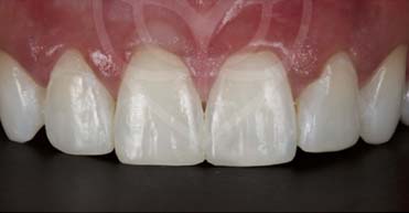
I’ve always hated going to the dentist, but Dr. Florin at Nuvo Dental has completely changed that. The care and attention I’ve received have been outstanding. From the moment I walked through the door, everyone has been warm, friendly, and incredibly helpful. Dr. Florin keeps me fully informed about my treatment, even sharing photos of my progress along the way. For the first time, I’m actually excited about fixing my teeth—Nuvo Dental has truly restored my faith in dental care.
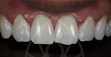
After having Invisalign and bonding by a previous dentist, I needed some work done due to my own fault. Dr florin at Nuvo went above my expectations, and my results are amazing! Florin and his team are absolutely lovely, and talked everything through really well. My teeth are even better than before! Thank you everyone at Nuvo