Google Rating
4.9
Google Rating
Nuvo Dental + Implant Centre
Menu
instagram instagram instagram
instagram

That dentist clean feeling in 30 minutes!

We can help you smile like you mean it at Nuvo Dental Centre, with Airflow Tooth Polishing.

Designed to be as gentle as possible on the teeth and gums, while also removing stains, plaque, and tartar, Airflow Tooth Polishing leaves the mouth feeling fresh and looking great.

What is Airflow Tooth Polishing?

This highly effective yet gentle teeth cleaning experience uses a combination of water, a controlled jet of air, and carbonated particles to remove debris, and any build-up of plaque and staining. It can work well with superficial staining from coffee, tea, red wine, and tobacco.

Is it painful?

Airflow Tooth Polishing is ultra gentle, it is mainly used to remove staining and soft debris.

Why choose Airflow Tooth Polishing?

With Airflow Tooth Polishing, teeth will look and feel cleaner, the mouth will feel fresh, and it can also help with bad breath.

How can I receive this treatment?

Ask any of our team members about Airflow Tooth Polishing today, and it can be part of your next dental hygiene appointment.

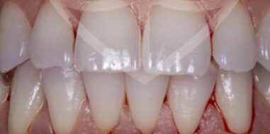
Before - nuvo

Before

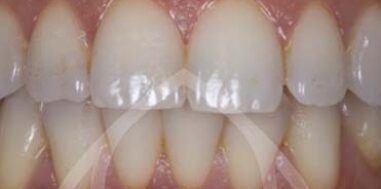
After - nuvo

After

For more information regarding this treatment
Contact Us Or Book Online
Back to General Dentistry

Get in touch

google rating thumb2

Shelley Smith

star icon1star icon2star icon3star icon4star icon5

Couldn’t be more happy with my new teeth! After decades of searching for someone to do what I wanted to, I finally found Dr Bains…

READ MORE
google rating thumb2

Sylvia Manning

star icon1star icon2star icon3star icon4star icon5

I’ve always felt comfortable at this dentist, even though I’m not a massive fan of dentists. They always consider how your feeling, while they’re doing…

READ MORE
google rating thumb2

Tina Derakhshan

star icon1star icon2star icon3star icon4star icon5

I am a nervous patient and they made me feel very comfortable and Mo explained everything he was going to do. I felt no pain…

READ MORE
google rating thumb2

Andy Peart

star icon1star icon2star icon3star icon4star icon5

Dr chad is a lovely guy. He puts you at ease from the start. One of the best dentist i have had. Would recommend him…

READ MORE
google rating thumb2

Brian Town

star icon1star icon2star icon3star icon4star icon5

Very good service with Chad and Laura. Friendly helpful advice and answered my questions. Superb service. Many thanks.

READ MORE
google rating thumb2

Kara Pritchard

star icon1star icon2star icon3star icon4star icon5

Very professional and explained everything , made you feel at ease, lovely kind caring man would recommend, thank you very much.

READ MORE
google rating thumb2

Andy Jane

star icon1star icon2star icon3star icon4star icon5

Excellent service and treatment dealing with my tooth abscess. Dr Chad gave me comprehensive advice and rang me on the telephone to discuss all options.…

READ MORE
google rating thumb2

Mihaela J

star icon1star icon2star icon3star icon4star icon5

Best dentist in last 10 years! Dr Mariola, very friendly, very professional, made me feel very at ease, very patient and finally able to smile…

READ MORE
google rating thumb2

John Greaves

star icon1star icon2star icon3star icon4star icon5

I just want to express my gratitude to the staff of Nuevo Surgery for the excellent service I had on Thursday 11/ Fri 12 Feb.…

READ MORE
google rating thumb2

Sarah Rundle

star icon1star icon2star icon3star icon4star icon5

Made me feel very at ease, very patient and finally able to smile now! The most gentle dentist I have ever seen! Thank you!

READ MORE
google rating thumb2

Tracy Graham

star icon1star icon2star icon3star icon4star icon5

I can highly recommend Dr Chad, he has done a fantastic job. I can now smile with confidence! Thank you so much.

READ MORE
google rating thumb2

Rebekah King

star icon1star icon2star icon3star icon4star icon5

I was recommended this dental clinic (in particular, Dr Mariola) by my friend, as I am a very nervous patient. The receptionists are friendly. Dr…

READ MORE
google rating thumb2

Sarah Prestidge

star icon1star icon2star icon3star icon4star icon5

Excellent and very caring team. The treatment I received was brilliant.

READ MORE
google rating thumb2

Toni Dumbreck

star icon1star icon2star icon3star icon4star icon5

I was really pleased with the recent work I had done with dentist Scott Smith. Scott was very kind and caring as well as efficient…

READ MORE
google rating thumb2

Jess Pope

star icon1star icon2star icon3star icon4star icon5

Have not received such outstanding care from a dentist before. Dr Raj was so thorough, and caring throughout the whole experience whilst receiving treatment for…

READ MORE

Our friendly team

instagram icon1
nuvo dental plus implant centre logo2

Opening hours

Monday

08:30am - 05:00pm

Tuesday

08:30am - 05:00pm

Wednesday

08:30am - 05:00pm

Thursday

08:30am - 05:00pm

Friday

08:30am - 05:00pm

google rating