Google Rating
4.9
Google Rating
Nuvo Dental + Implant Centre
Menu
instagram instagram instagram
instagram

Thinking about transforming your smile? Composite bonding might just be just the thing for you! Teeth bonding isn’t just another dental treatment; it’s an incredibly popular way to get that brighter, more symmetrical smile you’ve been dreaming of, and all without anything too drastic.

At Nuvo Dental Plymouth, our cosmetic dentist, Dr Sanjay Sumaria has a keen eye for detail, and a Masters in Restorative Dentistry, making him the premier choice to do your composite bonding work. We’re talking precision science meets true artistry here, all to reshape and perfect your teeth, giving you a gorgeous, natural look. We use only the best materials and the latest techniques because, well, you deserve a smile you’ll absolutely love!

Ready to transform your smile?

Book your free online consultation today!

Book a consultation

Is composite bonding your smile solution?

Wondering if this is “the one” for your smile? Book in for a FREE online cosmetic consultation! We’ll chat all about your smile goals and whether composite bonding is the perfect fit. And here’s the cool part: we can even give you a ‘trial smile’ by temporarily applying the composite, so you can literally see your new smile before you commit.

So, what kind of smile tweaks can we achieve with cosmetic bonding? It’s perfect for:

  • Tidying up cracked or chipped teeth
  • Gently correcting slightly misaligned teeth
  • Closing those small, bothersome gaps between your teeth

If you have overlapping or crowded teeth, we might suggest getting them straightened first with something like Invisalign to make sure your results are natural, healthy, and last for ages. We’re all about getting you the best, longest-lasting smile possible!

Dreaming of a stunning, more confident smile?

Get composite bonding in Plymouth from £289 per tooth with Nuvo Dental.

Book your FREE online consultation today

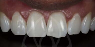
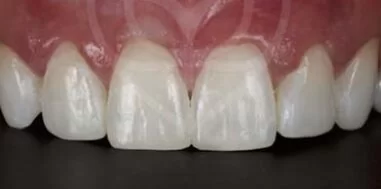
Amazing before & after results!

We’ve helped so many happy people achieve the smiles they’ve always dreamed of! Take a peek at some of their incredible transformations in our smile gallery and book your consultation today to see how we can help you smile with real confidence!

Before - nuvo

Before

After - nuvo

After

View our smile gallery

Have questions about composite bonding?

We’d love to chat! Get in touch today or book a consultation.

Book a consultation

The cosmetic bonding process

The process is super straightforward and is usually finished in just one visit!

  • Prep time: We’ll give your teeth a good clean and get them ready for their glow-up.
  • Application: We’ll apply a soft, tooth-coloured resin to your teeth. Think of it like sculpting!
  • Shaping: Our skilled team will expertly shape and contour the resin to create your dream smile.
  • Lock it in: A special UV light hardens the resin, making it super secure.
  • Finishing touch: We’ll polish everything up for a smooth, natural finish that blends perfectly with your natural teeth.

We pride ourselves on using high-quality materials and staying on top of the latest techniques at Nuvo Dental to ensure you get those incredible results you deserve.

Let’s talk smiles

Why choose us for dental bonding in Plymouth

So, you’re thinking about dental bonding in Plymouth? That’s fantastic! It’s an incredible way to refresh your smile, and we truly believe that when it comes to something as important as your teeth, you deserve a practice that feels right. Here’s why we’re confident you’ll love your experience with us:

  • Flexible payment options: Investing in your smile is a big decision, and we want to make it stress-free. That’s why we offer flexible payment plans designed to suit your budget.
  • Highly skilled & caring team: You’ll immediately notice the difference our highly skilled dentist and friendly team make. We truly care about your experience and your results.
  • A welcoming dental family: From the moment you step through our doors, you’re not just a patient; you’re part of our dental family. We take the time to listen, understand your concerns, and ensure you’re happy every step of the way.

We can’t wait to help you smile with confidence!

Book a consultation

Keeping that new smile sparkling!

To keep your beautiful new smile looking its best, a little care goes far. Because the bonding material can be a bit thinner than your natural tooth, a bit of careful maintenance is key for longevity.

We highly recommend:

  • Regular maintenance appointments: We’ll advise you on how often, usually every 3-12 months.
  • Routine dental check-ups: To keep your whole mouth happy and healthy.
  • Hygienist visits: Essential for professional cleaning to keep stains away and your smile super bright!

With just a bit of proper care, your composite bonded teeth can stay strong and beautiful for years to come.

Do you offer 0% finance?

We believe in straightforward pricing at Nuvo Dental Plymouth, all while delivering high-quality dental care:

  • Initial consultation & treatment plan: FREE (Yep, totally on us!)
  • Tooth Whitening (optional): From £350
  • Composite bonding: From £289 per tooth
  • Maintenance appointments: From £200 per session
  • Hygienist visit (standard clean): From £70

Have questions about composite bonding?

We’d love to chat! Get in touch today or book a consultation.

Book a consultation

FAQs

At Nuvo Dental, we are happy to be upfront about our pricing! For composite bonding right here in Plymouth, the cost is £289 per tooth. We believe in transparent pricing and ensuring you understand exactly what's involved. Remember, this investment is in your smile, and we're dedicated to providing exceptional results with high-quality materials and a friendly, expert touch.
Absolutely! Dental bonding is incredibly versatile and one of its superpowers is its ability to address a variety of common cosmetic concerns. Whether you have small gaps between your teeth, a pesky chip that bothers you, or teeth that just aren't quite aligned to your liking, composite bonding can work wonders. It's fantastic for making subtle yet significant improvements to the shape, size, and overall appearance of your smile.
Caring for your bonded teeth is quite similar to caring for your natural teeth, which makes it super easy! We recommend maintaining a consistent routine of brushing twice a day with a non-abrasive toothpaste and flossing daily. It's also a good idea to avoid biting directly on very hard foods like ice or hard sweets, as this could potentially chip the bonding material. Regular dental check-ups and hygiene appointments are still essential too, to keep your entire smile healthy and sparkling.
While modern composite resins are much more resistant to staining than older materials, they can still pick up stains over time, much like your natural tooth enamel. Things like coffee, tea, red wine, and smoking can contribute to discolouration. The good news is that with good oral hygiene and avoiding excessive consumption of staining agents, you can keep your bonded teeth looking great for a long time. If they do start to discolour, sometimes a professional polish can help, or in some cases, a minor touch-up might be recommended.
That's one of the best parts about composite bonding – it's generally a very quick and efficient procedure! For a single tooth, it can often be completed in as little as 30 to 60 minutes. If you're having several teeth bonded, it will naturally take a bit longer, but most bonding treatments can be done in a single appointment. This means you can often walk in with one smile and walk out with a refreshed, more confident one on the very same day!
Composite bonding is an excellent option for many people looking to improve their smile. However, whether it's the best option for you depends on your individual needs and the extent of the cosmetic concerns you want to address. It's ideal for minor to moderate issues. For more significant structural problems, extensive discolouration, or if you're looking for a more permanent solution, other treatments like crowns or veneers might be more appropriate. The best way to find out if bonding is right for you is to come in for a consultation, where we can assess your smile and discuss all your options.
Thinking about dental veneers too? No worries! There are some key differences, and our experts are here to walk you through all your options during your consultation. We'll help you pick the perfect treatment that truly nails your smile goals! Both are fantastic for cosmetic improvements! The main difference lies in the material used, the preparation required, and their longevity. Both treatments can give you a beautiful smile, but they suit different needs and preferences. We'll help you understand which one aligns best with your goals during your consultation!
For more information regarding this treatment
Contact Us Or Book Online
Back to Cosmetic Dentistry

Get in touch

google rating thumb2

Shelley Smith

star icon1star icon2star icon3star icon4star icon5

Couldn’t be more happy with my new teeth! After decades of searching for someone to do what I wanted to, I finally found Dr Bains…

READ MORE
google rating thumb2

Sylvia Manning

star icon1star icon2star icon3star icon4star icon5

I’ve always felt comfortable at this dentist, even though I’m not a massive fan of dentists. They always consider how your feeling, while they’re doing…

READ MORE
google rating thumb2

Tina Derakhshan

star icon1star icon2star icon3star icon4star icon5

I am a nervous patient and they made me feel very comfortable and Mo explained everything he was going to do. I felt no pain…

READ MORE
google rating thumb2

Andy Peart

star icon1star icon2star icon3star icon4star icon5

Dr chad is a lovely guy. He puts you at ease from the start. One of the best dentist i have had. Would recommend him…

READ MORE
google rating thumb2

Brian Town

star icon1star icon2star icon3star icon4star icon5

Very good service with Chad and Laura. Friendly helpful advice and answered my questions. Superb service. Many thanks.

READ MORE
google rating thumb2

Kara Pritchard

star icon1star icon2star icon3star icon4star icon5

Very professional and explained everything , made you feel at ease, lovely kind caring man would recommend, thank you very much.

READ MORE
google rating thumb2

Andy Jane

star icon1star icon2star icon3star icon4star icon5

Excellent service and treatment dealing with my tooth abscess. Dr Chad gave me comprehensive advice and rang me on the telephone to discuss all options.…

READ MORE
google rating thumb2

Mihaela J

star icon1star icon2star icon3star icon4star icon5

Best dentist in last 10 years! Dr Mariola, very friendly, very professional, made me feel very at ease, very patient and finally able to smile…

READ MORE
google rating thumb2

John Greaves

star icon1star icon2star icon3star icon4star icon5

I just want to express my gratitude to the staff of Nuevo Surgery for the excellent service I had on Thursday 11/ Fri 12 Feb.…

READ MORE
google rating thumb2

Sarah Rundle

star icon1star icon2star icon3star icon4star icon5

Made me feel very at ease, very patient and finally able to smile now! The most gentle dentist I have ever seen! Thank you!

READ MORE
google rating thumb2

Tracy Graham

star icon1star icon2star icon3star icon4star icon5

I can highly recommend Dr Chad, he has done a fantastic job. I can now smile with confidence! Thank you so much.

READ MORE
google rating thumb2

Rebekah King

star icon1star icon2star icon3star icon4star icon5

I was recommended this dental clinic (in particular, Dr Mariola) by my friend, as I am a very nervous patient. The receptionists are friendly. Dr…

READ MORE
google rating thumb2

Sarah Prestidge

star icon1star icon2star icon3star icon4star icon5

Excellent and very caring team. The treatment I received was brilliant.

READ MORE
google rating thumb2

Toni Dumbreck

star icon1star icon2star icon3star icon4star icon5

I was really pleased with the recent work I had done with dentist Scott Smith. Scott was very kind and caring as well as efficient…

READ MORE
google rating thumb2

Jess Pope

star icon1star icon2star icon3star icon4star icon5

Have not received such outstanding care from a dentist before. Dr Raj was so thorough, and caring throughout the whole experience whilst receiving treatment for…

READ MORE

Our friendly team

instagram icon1
nuvo dental plus implant centre logo2

Opening hours

Monday

08:30am - 05:00pm

Tuesday

08:30am - 05:00pm

Wednesday

08:30am - 05:00pm

Thursday

08:30am - 05:00pm

Friday

08:30am - 05:00pm

google rating